塑胶乐竞网页版入口针对模仁钢材的八大性能要求,具体如下:
2017-09-28
塑胶乐竞网页版入口注塑新技术,高光无痕注塑技术
乐竞网页版入口-申请深圳市创新型中小企业
2017-09-27
南京国庆8日游
2017-09-26
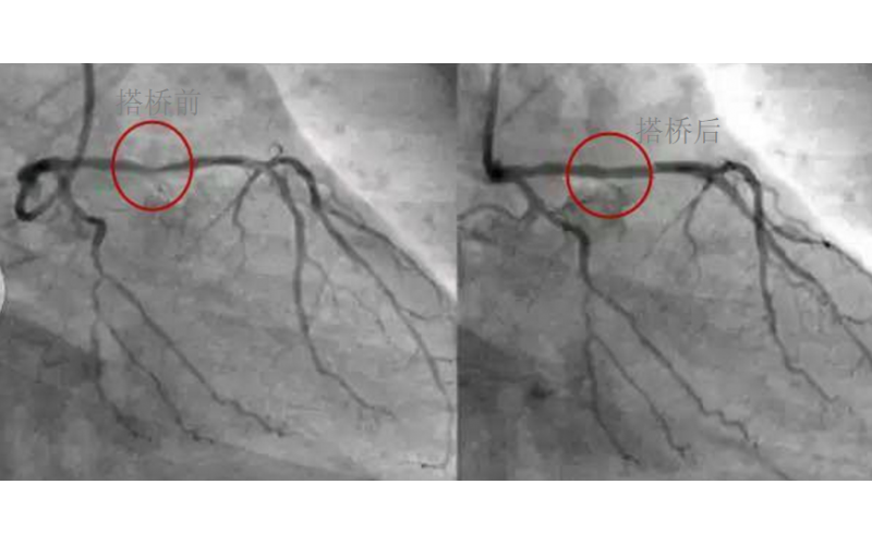
深圳市乐竞网页版入口厂对心脏支架的关注,国产化的道路有多长?
2017-09-25
天线罩乐竞网页版入口, 专业的TPU乐竞网页版入口, 专业设计, 专业生产上图这样的设计, 是不是可以看清楚,
深圳乐竞网页版入口厂加强出货前检验,能有效避免效率低下,浪费时间的问题
注塑塑胶件喷油的分类和介绍、区别
乐竞网页版入口设计的关键
乐竞网页版入口7级定位
乐竞网页版入口精度分几类
叶轮乐竞网页版入口要注意的事项